Sign up
Sign in
Introduction-to-Electron-and-
/
Digital-Image-Processing-in-Microscopy
/
u
/
cjin002
/
Post #2
Cindy Jin
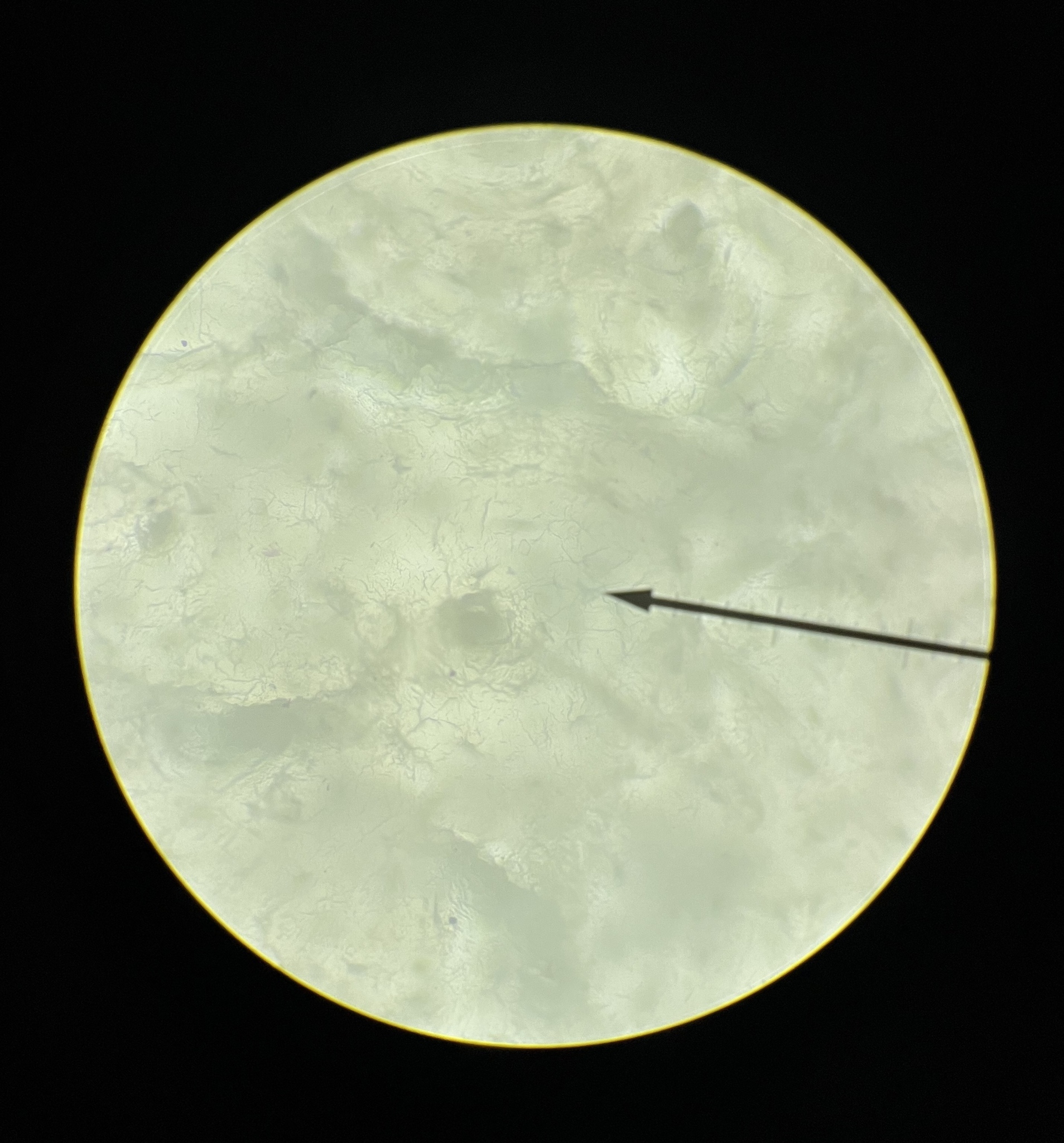
Digital Microscopy Image 2
Ground bone, cs. Human, Light Microscope, 40x
January 10, 2022 at 9:02 AM
Last updated almost 4 years ago
Visible to public
×
Insert an image
Image URL
Upload an image
Use
PostImage.org
to upload the image
Copy the
Direct Link
to your clipboard and paste it into the box above
Heading
Section
New version available
Refresh
Dismiss