Digital Image Processing in Microscopy

Digital Microscopy Image 2

Only editable by group admins

  • Last updated December 30, 2016 at 2:24 PM
  • Evidence visible to public
Post an image of a light or electron microscope specimen that was imaged and processed digitally. Include a description of the specimen, microscopy type, and magnification.

All posted evidence

Posted Image

kaylaj2022 Almost 4 years ago

Posted Image

thedrummindude Almost 4 years ago

Posted Image

thedrummindude Almost 4 years ago

A Pollen sample under a light microscope with a 40x objective

thedrummindude Almost 4 years ago

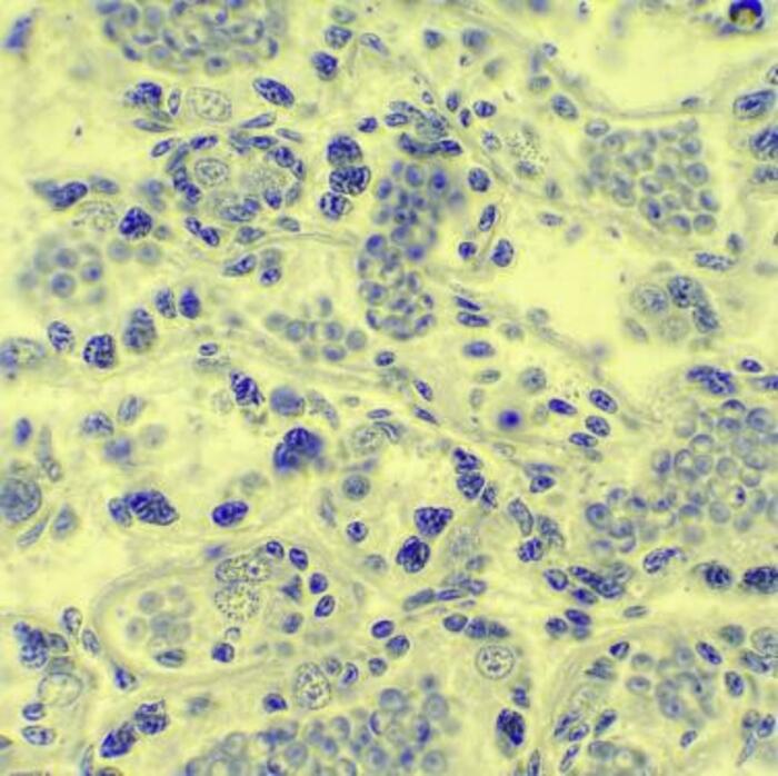
Root Tubercle legume sec., 40x

jonathanw Almost 4 years ago

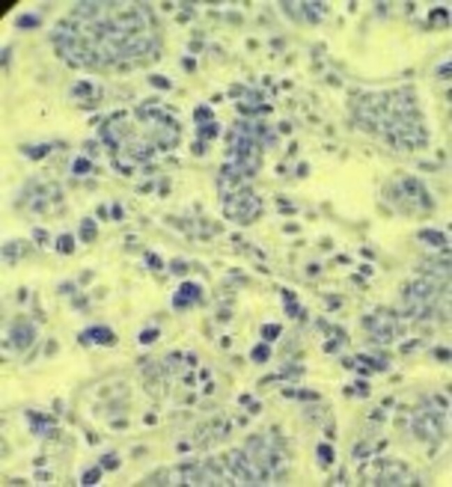
This is a picture of Crayfish Testis viewed through a 40x scope. This image has been edited through the photos program on a windows pc.

gabem Almost 4 years ago

Posted Image

gabem Almost 4 years ago

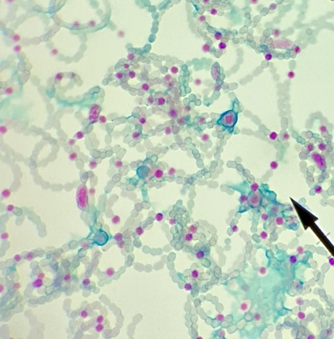
Penicillium, Light Microscope, 10x

matthew-nguyen Almost 4 years ago

Penicillium, Light Microscope, 10x

matthew-nguyen Almost 4 years ago

This is a picture of Crayfish Testis viewed through a 40x scope. This image has been edited through the photos program on a windows pc.

gabem Almost 4 years ago

Anabaena heterocysts spores - microscope -40x

jada24 Almost 4 years ago

Mold on orange, microscope, 4x magnification

micah Almost 4 years ago