Digital Image Processing in Microscopy

Digital Microscopy Image 4

Only editable by group admins

  • Last updated December 30, 2016 at 2:24 PM by drhandran
  • Evidence visible to public
Post an image of a light or electron microscope specimen that was imaged and processed digitally. Include a description of the specimen, microscopy type, and magnification.

All posted evidence

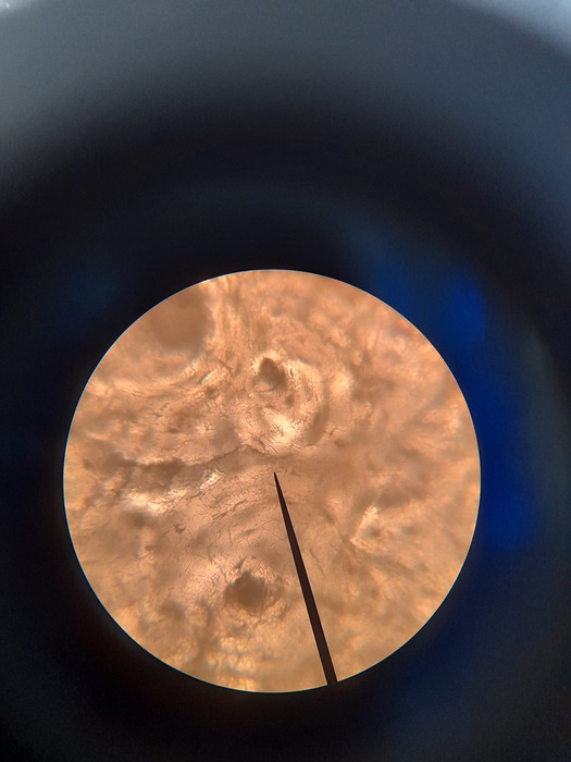
Spleen 40x

austinmo Almost 4 years ago

Shark embryo Microscope 40x

emma-hebert Almost 4 years ago

Bone, developing long Ls. 40X use light microscope

jessie-zhang Almost 4 years ago

Shark Embryo 50mm, Light Microscope, 4x

cjin002 Almost 4 years ago

Shark Embryo 50mm, Light Microscope, 4x

cjin002 Almost 4 years ago

Shark Embryo 50mm, Light Microscope, 4x

cjin002 Almost 4 years ago

Plasma 40x

alexandria3 Almost 4 years ago

Aves feather light microscope 10x

catherine-zhang Almost 4 years ago

Tensed Voluntary Muscle Piece 10x Zoom

shanmukh Almost 4 years ago

Posted Image

austinmo Almost 4 years ago

Ground bone, cs. Human. 10X. use light microscope.

jessie-zhang Almost 4 years ago

Posted Image

micah Almost 4 years ago