Digital Image Processing in Microscopy

Digital Microscopy Image 3

Only editable by group admins

  • Last updated December 30, 2016 at 2:24 PM
  • Evidence visible to public
Post an image of a light or electron microscope specimen that was imaged and processed digitally. Include a description of the specimen, microscopy type, and magnification.

All posted evidence

Posted Image

kaylaj2022 Almost 4 years ago

Posted Image

thedrummindude Almost 4 years ago

Posted Image

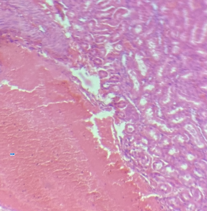
thedrummindude Almost 4 years ago

Kidney non-median sag. sec, light microscope with 4x objective.

thedrummindude Almost 4 years ago

Human pancreas sec, 40x

jonathanw Almost 4 years ago

This is a image of a Spinal cord with a silver impregnation viewed under a 10x scope. This image has been edited through photos a program which is automatically installed on a windows pc.

gabem Almost 4 years ago

Female Chromosome, Light Microscope, 40x

matthew-nguyen Almost 4 years ago

Female Chromosome, Light Microscope, 40x

matthew-nguyen Almost 4 years ago

This is a image of penicillium mycelium conidiophores viewed through a 40x scope. This image has also been edited through the photos program on a windows computer.

gabem Almost 4 years ago

Penicillium mycelium conidiophores - microscope-10x

jada24 Almost 4 years ago

Blue Feather, Microscope, 10x Magnification

micah Almost 4 years ago

Root Tubercle 40x image 1 is also 40x

austinmo Almost 4 years ago